Vi sono ormai consolidate evidenze che la mammografia 3D (tomosintesi) sia più sensibile della mammografia digitale tradizionale. Non solo migliore sensibilità ma anche maggiore specificità.
La tomosintesi è tecnica più sensibile della mammografia 2D perché ottimizza i vari aspetti menzionati. L’impianto mammografico viene modificato per consentire alla sorgente radiogena di ruotare ed eseguire radiografie del seno a diversi angoli di proiezione; le immagini digitali, acquisite a bassa dose, sono poi opportunamente combinate per ricostruire le sezioni a diversa profondità. La tomosintesi in pratica è una mammografia migliore. Nata per superare i limiti della mammografia digitale 2D la tomosintesi permette di ricostruire una stratigrafia della mammella a partire da un numero finito di proiezioni bidimensionali. Di ultimissimo sviluppo è il CAD che mediante marker segnala le aree di maggiore interesse.
- Digital breast tomosynthesis (DBT): è una tomografia ad angolo limitato applicata alla mammografia
- E’ tecnologia di recente introduzione e di forte impatto per la detezione e la diagnosi della patologia mammaria.
- Permette di ricostruire a strati secondo piani paralleli al detector 2 D, con un effetto “pseudo 3D”.
Ciò contribuisce a ridurre gli artefatti da sovrapposizione o sommazione e ad ovviare al mascheramento delle lesioni relativo alla densità mammaria. La tomosintesi è in grado di visualizzare separatamente oggetti posti a profondità diverse tramite l’acquisizione di molteplici proiezioni bidimensionali a bassa dose per diverse angolazioni del tubo rx intorno alla mammella con detettore fermo. I dati acquisiti vengono ricostruiti in una serie di strati sottili ad alta risoluzione.
La ricostruzione 3D supera i limiti della Mammografia 2D dovuti a densità mammaria e sovrapposizione dei tessuti che determinano mascheramento e misconoscimento dei tumori.

Limiti della mammografia
- mammelle opache, ghiandolari
- sede marginale del tumore
- scarsa densità (opacità) intrinseca del tumore
- tumore molto piccolo
- contorni regolari di alcuni tumori
- difetti di apparecchiature e di esecuzione dell’esame.
I vantaggi della mammografia digitale 3D con Tomosintesi
Analisi più accurata eliminando gli artefatti da sovrapposizione del tessuto fibroghiandolare, incrementando la risoluzione spaziale e riducendo i falsi negativi e i falsi positivi. I falsi negativi della mammografia digitale oscillano dal 10 al 30%.2. La dose di radiazione ampiamente al di sotto della dose di sicurezza, sostanzialmente analoga alla mammografia digitale ma di gran lunga inferiore rispetto alla mammografia analogica.3. La Tomosintesi c-view permette l’esecuzione della mammografia in 3D con ricostruzione mediante algoritmo matematico di una immagine 2D.
Nella donna non esistono seni uguali, poiché ciascuno contiene una specifica combinazione di tessuto adiposo e fibroghiandolare. I seni di alcune donne sono quasi tutti adiposi, mentre altri hanno proporzioni variabili di tessuto adiposo e fibroghiandolare.

Densità diversa approccio diverso
La densità del seno modifica il panorama dell’imaging mammario

La densità mammografica è un fattore di rischio per lo sviluppo del tumore della mammella ( prevalente componente ghiandolare); ed inoltre è il fattore che determina una minore sensibilità della mammografia (effetto masking) Vachon CM et al. Breast Cancer Res, 2007).


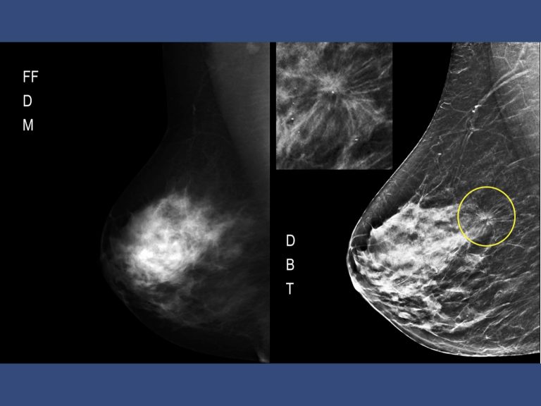
Mammografia 2D/Tomosintesi
Per maggiori informazioni
o per prenotare una visita, contattaci.

