Cos’è?
La mammografia con mezzo di contrasto (CEM) è una tecnica di imaging mammario che utilizza un mezzo di contrasto endovenoso (IV) a base di iodio in combinazione con una mammografia digitale standard. Alcuni tumori che non sono visibili nelle mammografie standard o nella tomosintesi possono essere osservati con l’aggiunta del contrasto. L’agente di contrasto a base di iodio utilizzato è lo stesso dell’agente di contrasto utilizzato per le scansioni TC, ma diverso dagli agenti di contrasto a base di gadolinio utilizzati nella risonanza magnetica. La CEM può essere utilizzata per valutare l’estensione del cancro nelle donne con carcinoma mammario di nuova diagnosi e per monitorare la risposta alla chemioterapia somministrata prima dell’intervento chirurgico. La CEM può essere utilizzata per valutare i sintomi o le anomalie del seno osservate sulle mammografie. Nelle donne raccomandate per lo screening della risonanza magnetica, ma che non sono in grado di tollerare o accedere alla risonanza magnetica, la CEM può essere eseguita come test alternativo [1, 2]. Lo screening con CEM è un’area di indagine attiva ed è attualmente considerato un “uso off-label” dalla Food and Drug Administration (FDA) degli Stati Uniti.
Come funziona
Per la CEM, prima una flebo viene inserita in una vena del braccio o della mano per l’iniezione di un mezzo di contrasto a base di iodio. Quando il contrasto viene iniettato, il paziente può sentire molto brevemente calore dappertutto, avere un sapore metallico in bocca e quindi provare una sensazione come se stesse per urinare. L’imaging inizia circa due minuti dopo l’iniezione di mezzo di contrasto.
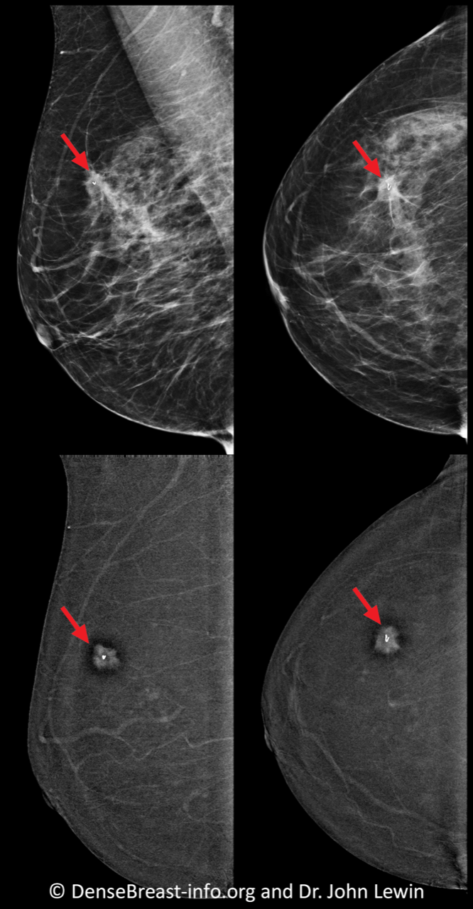
Per la CEM, il posizionamento e la compressione del seno sono gli stessi di una mammografia digitale standard. Per ogni seno si ottengono due esposizioni mammografiche (immagini) in ciascuna delle due posizioni, per un totale di quattro immagini per seno (otto immagini in totale per un tipico esame CEM). Un’esposizione utilizza raggi X a bassa energia e assomiglia a una mammografia standard. La seconda esposizione utilizza raggi X ad alta energia che vengono assorbiti principalmente dallo iodio nell’agente di contrasto. Le immagini a bassa e alta energia vengono elaborate dal software per creare un’immagine “solo iodio” che mostra solo i risultati che “migliorano”. I tumori in genere migliorano più del tessuto normale e quindi appaiono di un bianco più brillante, mentre il tessuto normale circostante di solito appare scuro (Fig. CEM-1). Per questo motivo, la maggior parte dei tumori è più facile da vedere sulle immagini “solo iodio” che su una mammografia standard o una tomosintesi. Il radiologo esaminerà le immagini “solo iodio” insieme alle immagini a bassa energia [3].

Figura CEM-1. Mammografia con mezzo di contrasto. In alto: viste obliqua mediolaterale (MLO) e craniocaudale (CC) di una mammografia digitale standard con cancro (frecce rosse), che è difficile da vedere, anche per un radiologo esperto. In basso, immagini “solo iodio” nello stesso paziente, è chiaramente visibile l’aumento di massa dovuto al cancro invasivo (frecce).
Benefici
La CEM presenta diversi vantaggi rispetto alla mammografia standard, alla risonanza magnetica e all’ecografia. La CEM mostra più tumori rispetto alla mammografia standard [3-5] o anche alla combinazione di mammografia ed ecografia mammaria [6]. In uno studio su 904 donne ad alto rischio di cancro al seno, la maggior parte delle quali aveva un seno denso, l’aggiunta del contrasto ha reso possibile il rilevamento di quasi 7 tumori ogni 1000 donne sottoposte a screening [5]. In due studi che hanno utilizzato la CEM per lo screening di donne con una storia personale di cancro al seno, i tassi di tumori rilevati solo con l’aggiunta del mezzo di contrasto sono stati 17/1191 (14,3/1000 donne) [7] e 9/971 (10/1000 donne) [8]. Ulteriori studi sono in corso.
La CEM ha un tasso di rilevamento del cancro molto simile alla risonanza magnetica [9, 10] e può essere eseguita a un costo inferiore. La CEM può essere aggiunta alle apparecchiature standard per mammografia digitale o tomosintesi, il che facilita l’adozione e migliora l’accesso per i pazienti [11]. La CEM è un esame relativamente breve, della durata di circa 10 minuti, che è paragonabile a una risonanza magnetica abbreviata, e molto inferiore ai 25 minuti necessari per una risonanza magnetica mammaria standard. I pazienti generalmente preferiscono la CEM alla risonanza magnetica [12-14]. A differenza della risonanza magnetica, la CEM può essere utilizzata in pazienti con claustrofobia o impianti metallici [15]. I falsi positivi (test aggiuntivi per risultati che non sono il cancro) sono meno comuni con la CEM che con la risonanza magnetica [9, 10]. Infine, è dimostrato che la CEM dimostra l’estensione della malattia sia per il carcinoma duttale invasivo che per il carcinoma lobulare invasivo meglio della mammografia standard e simile alla risonanza magnetica [16-18].
Considerazioni
La dose di radiazioni della CEM è circa il doppio di quella di una mammografia standard, ma ancora all’interno dell’intervallo di sicurezza accettato. La dose è simile a una mammografia combinata 2D e 3D [19].
I mezzi di contrasto a base di iodio comportano alcuni rischi. Le donne con scarsa funzionalità renale o allergia al mezzo di contrasto a base di iodio non dovrebbero sottoporsi a CEM. Nelle donne di età superiore ai 60 anni o con una storia di diabete, ipertensione o altri rischi di malattia renale, potrebbe essere necessario controllare la funzionalità renale prima dell’iniezione del mezzo di contrasto. Reazioni allergiche lievi, come l’orticaria, si verificano in circa l’1% dei pazienti entro pochi minuti dalla somministrazione del mezzo di contrasto. Le reazioni allergiche gravi che provocano anafilassi e possibilmente la morte sono rare (meno di 1 su 200.000). Il personale deve essere addestrato alle reazioni di contrasto per fornire le cure necessarie [20].
Le anomalie osservate alla CEM possono essere raccomandate per ulteriori immagini o biopsie. Alcuni risultati sospetti osservati alla CEM possono essere osservati con l’ecografia o con ulteriori visualizzazioni mammografiche per consentire la biopsia utilizzando tali metodi. Alcuni risultati richiederanno una biopsia con mezzo di contrasto, utilizzando la guida CEM diretta. Se una struttura non dispone di una capacità di biopsia guidata da CEM, potrebbe essere necessaria una biopsia guidata da risonanza magnetica. La mancanza di enhancement alla CEM non deve essere utilizzata per evitare la biopsia di calcificazioni sospette visibili solo sulle immagini a bassa energia.
Riferimenti citati
- Monticciolo DL, Newell MS, Moy L, Lee CS, Destounis SV. Screening del cancro al seno per le donne a rischio superiore alla media: raccomandazioni aggiornate dall’ACR. J Am Coll Radiol2023;20:902-914.
- Rete nazionale completa contro il cancro. Linee guida NCCN. Screening e diagnosi del cancro al seno v.3.2023. Disponibile all’indirizzo: https://www.nccn.org/professionals/physician_gls/pdf/breast- screening.pdf. Consultato il 23 gennaio 2024.
- Lewin JM, Isaacs PK, Vance V, Larke FJ. Mammografia digitale a sottrazione con contrasto a doppia energia: fattibilità. Radiologia2003;229:261-268.
- Jochelson MS, Dershaw DD, Sung JS, et al. Mammografia digitale bilaterale a doppia energia con mezzo di contrasto: fattibilità e confronto con la mammografia digitale convenzionale e l’imaging RM in donne con carcinoma mammario noto. Radiologia2013;266:743-751.
- Sung JS, Lebron L, Keating D, et al. Prestazioni della mammografia digitale con mezzo di contrasto a doppia energia per lo screening delle donne ad aumentato rischio di cancro al seno. Radiologia2019;293:81-88.
- Sorin V, Yagil Y, Yosepovich A, et al. Mammografia spettrale con mezzo di contrasto in donne con rischio intermedio di cancro al seno e seno denso. AJR Am J Roentgenol2018; 211:W267-W274.
- Elder K, Matheson J, Nickson C, et al. Mammografia con mezzo di contrasto nella sorveglianza del cancro al seno. Cancro al seno Res Treat. 2023; 199(2):221-230.
- Gluskin J, Rossi Saccarelli C, Avendano D, et al. Mammografia con mezzo di contrasto per lo screening delle donne dopo un intervento chirurgico di conservazione del seno. Tumori (Basilea)2020; 12(12):3495.
- Pötsch N, Vatteroni G, Clauser P, Helbich TH, Baltzer PAT. Mammografia con mezzo di contrasto contro risonanza magnetica mammaria con mezzo di contrasto: una revisione sistematica e una meta-analisi. Radiologia2022;305:94-103.
- Xiang W, Rao H, Zhou L. Una meta-analisi della mammografia spettrale con mezzo di contrasto rispetto alla risonanza magnetica nella diagnosi del cancro al seno. Cancro toracico2020;11:1423-1432.
- Phillips J, Steinkeler J, Talati K, et al. Considerazioni sul flusso di lavoro per l’incorporazione della mammografia spettrale con mezzo di contrasto in una pratica di imaging mammario. J Am Coll Radiol2018;15:881-885.
- Hobbs MM, Taylor DB, Buzynski S, Peake RE. Mammografia spettrale con mezzo di contrasto (CESM) e risonanza magnetica con mezzo di contrasto (CEMRI): preferenze e tolleranza del paziente. J Med Imaging Radiat Oncol2015;59:300-305.
- Figlio D, Phillips J, Mehta TS, Mehta R, Brook A, Dialani VM. Preferenze dei pazienti in merito all’uso dell’imaging con mezzo di contrasto per lo screening del cancro al seno. Acad Radiol2022; 29 Suppl 1:S229-S238.
- Berg WA, Bandos AI, Sava MG. Analisi del processo di gerarchia analitica delle preferenze dei pazienti per la mammografia con mezzo di contrasto (CEM) rispetto alla risonanza magnetica come opzioni di screening supplementare per il cancro al seno. J Am Coll Radiol2023;20:758-768.
- Schiaffino S, Cozzi A, Clauser P, et al. Uso attuale e prospettive future della mammografia con mezzo di contrasto (CEM): un’indagine della European Society of Breast Imaging (EUSOBI). Eur Radiol; Pubblicato online il 16 gennaio 2024.
- Sumkin JH, Berg WA, Carter GJ, et al. Prestazioni diagnostiche della risonanza magnetica, dell’imaging molecolare del seno e della mammografia con mezzo di contrasto nelle donne con carcinoma mammario di nuova diagnosi. Radiologia2019;293:531-540.
- Patel BK, Davis J, Ferraro C, et al. Valore aggiunto della mammografia digitale preoperatoria con mezzo di contrasto in pazienti con carcinoma lobulare invasivo della mammella. Clin Cancro al seno2018; 18:e1339-e1345.
- Giannotti E, Van Nijnatten TJA, Chen Y, et al. Il ruolo della mammografia con mezzo di contrasto nella valutazione preoperatoria del carcinoma lobulare invasivo della mammella, Radiologia clinica, https://doi.org/10.1016/j.crad.2024.01.035.
- Phillips J, Mihai G, Hassonjee SE, et al. Dose comparativa di mammografia spettrale con mezzo di contrasto (CESM), mammografia digitale e tomosintesi mammaria digitale. AJR Am J Roentgenol2018;211:839-846.
- Zanardo M, Cozzi A, Trimboli RM, et al. Tecnica, protocolli e reazioni avverse per la mammografia spettrale con mezzo di contrasto (CESM): una revisione sistematica. Approfondimenti Imaging2019;10:76.
Per maggiori informazioni
o per prenotare una visita, contattaci.

